Odkryj moc pięknego uśmiechu z bondingiem kompozytowym

Szybka, bezbolesna metamorfoza Twojego uśmiechu w Dental City. Nowoczesne techniki, estetyka na najwyższym poziomie, efekty widoczne od razu.

Konsultacja z ekspertem od uśmiechu
Uśmiechnięty mężczyzna

Dlaczego pacjenci wybierają bonding w Dental City?

Ponad 10 lat doświadczenia

"Tysiące zadowolonych pacjentów"

Najnowsze technologie

"Nowoczesny sprzęt i materiały najwyższej jakości"

Gwarancja estetyki

"Do 24 miesięcy  gwarancji na bonding"

Atrakcyjne ceny

"Możliwość płatności ratalnej"

Ponad 10 lat doświadczenia

"Tysiące zadowolonych pacjentów"

Najnowsze technologie

"Nowoczesny sprzęt i materiały najwyższej jakości"

Gwarancja estetyki

"Do 24 miesięcy  gwarancji na bonding"

Atrakcyjne ceny

"Możliwość płatności ratalnej"
Zdziwiona kobieta
  • Czy Twój problem to także nasz obszar specjalizacji?

    PROBLEMY: Niechętnie się 
uśmiechasz z powodu przebarwień? 

    • Nieestetyczne przerwy między zębami (diastema)? 
    • Drobne ukruszenia lub pęknięcia zębów? 
    • Nierówny kształt lub wielkość zębów? 
    • Wrażliwość zębów na zimno i ciepło?
  • Czy Twój problem to także nasz obszar specjalizacji?

    ROZWIĄZANIA: Doskonały biały odcień zębów

    • Zamknięcie przerw między zębami
    • Odbudowa naturalnego kształtu zęba
    • Idealna harmonia uśmiechu
    • Wzmocnienie i ochrona zębów
  • Kompleksowe usługi bondingu - od pojedynczego zęba do pełnej metamorfozy uśmiechu

  • Bonding korekcyjny

    Bonding Korekcyjny

    Idealny dla osób zadowolonych ze swojego uśmiechu, które chcą wyeliminować drobne niedoskonałości na 1-2 zębach.

    Efekty:
    • Zamknięcie niewielkiej diastemy
    • Wyrównanie wyszczerbionego brzegu
    • Zamaskowanie pojedynczego przebarwienia
    Zobacz szczegóły bondingu
  • Bonding Rekonstrukcyjny

    Bonding Rekonstrukcyjny

    Rozwiązanie dla pacjentów z widocznymi uszkodzeniami, starciem zębów (bruksizm) lub procesami erozyjnymi.

    Efekty:
    • Odbudowa utraconych tkanek zęba
    • Wzmocnienie osłabionej struktury
    • Przywrócenie pierwotnej długości zębów
    Chcę piękny uśmiech
  • Bonding Kompleksowy

    Bonding Kompleksowy

    Całkowita przemiana estetyczna 6-10 zębów w linii uśmiechu. Alternatywa dla licówek bez inwazyjnego szlifowania.

    Efekty:
    • Nowy kształt i biały kolor zębów
    • Harmonijne proporcje linii uśmiechu
    • Natychmiastowy efekt (1-2 wizyty)
    Popraw swój uśmiech
  • Jak przebiega zabieg bondingu w DentalCity?

    01

    Konsultacja

    Analiza i plan zabiegu
    02

    Projekt

    Dobór koloru i 
planowanie estetyki
    03

    Zabieg

    Precyzyjne nałożenie i modelowanie kompozytu
    04

    Finisz

    Polerowanie i adaptacja nowego uśmiechu

    Nasze realizacje mówią więcej niż słowa

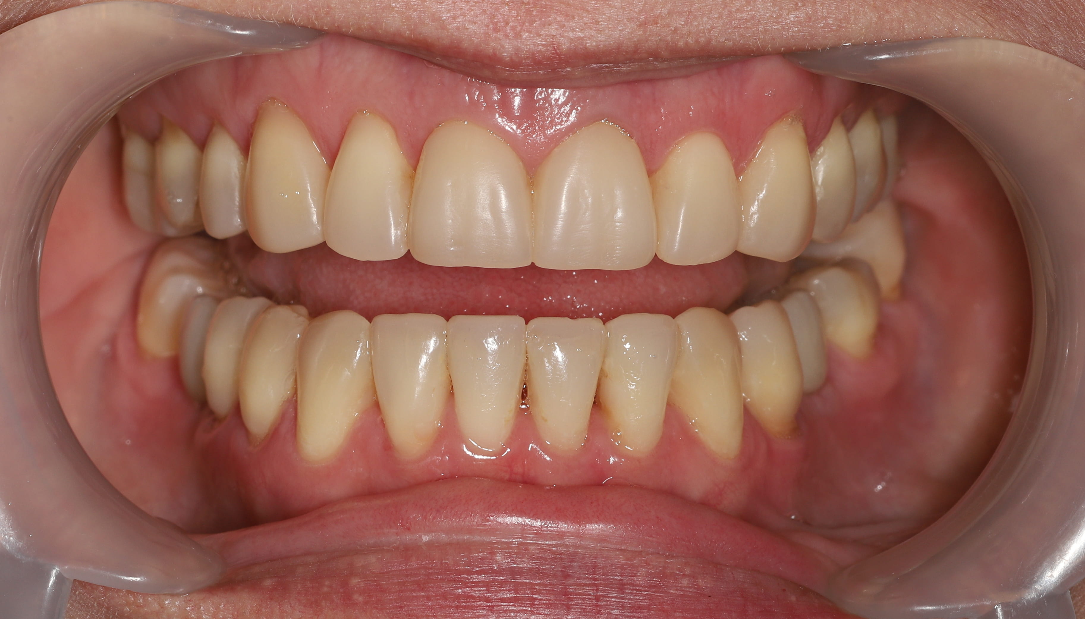
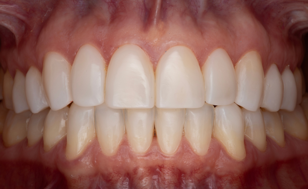
  • Bonding przed leczeniem
    ❌ Problem: nierówny kształt zębów, stłoczenia oraz starcia ✅ Rozwiązanie: bonding – estetyczne odbudowy , które idealnie dopasowały się do naturalnego koloru i kształtu zębów
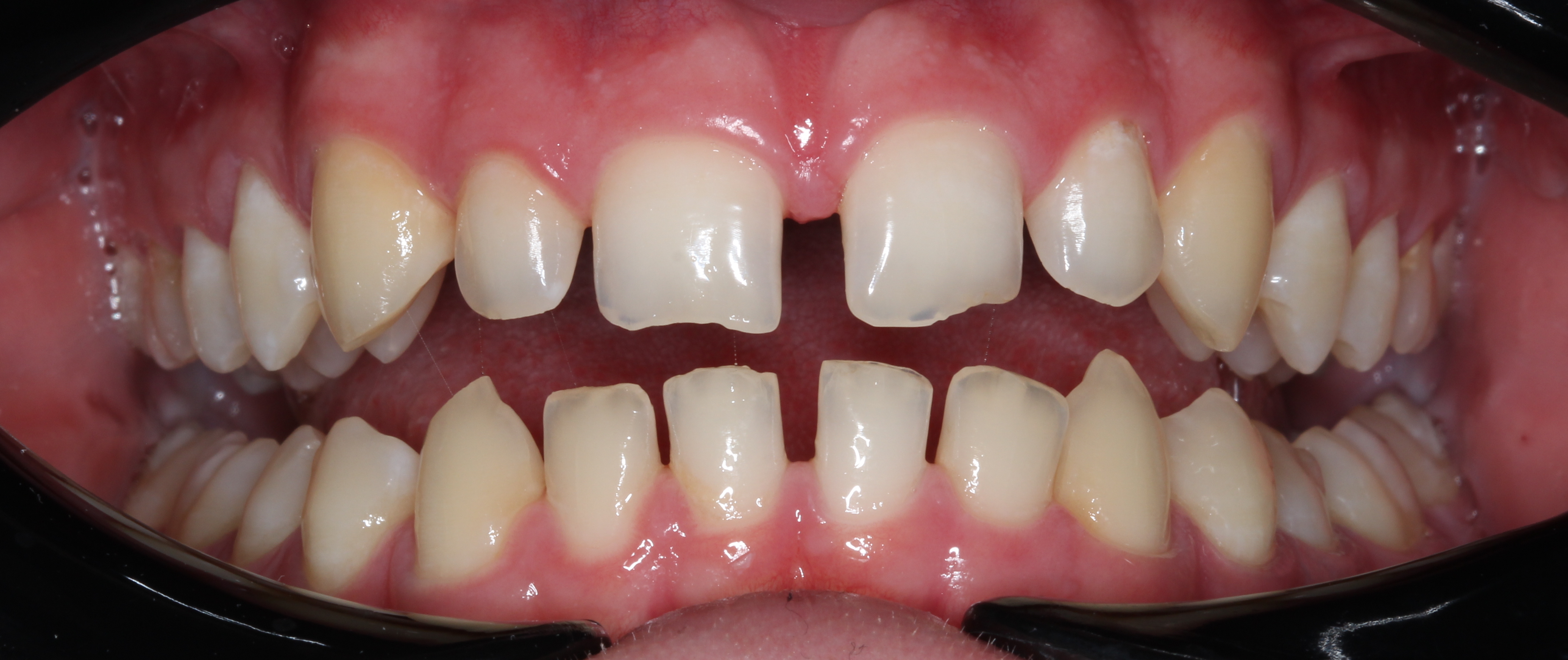
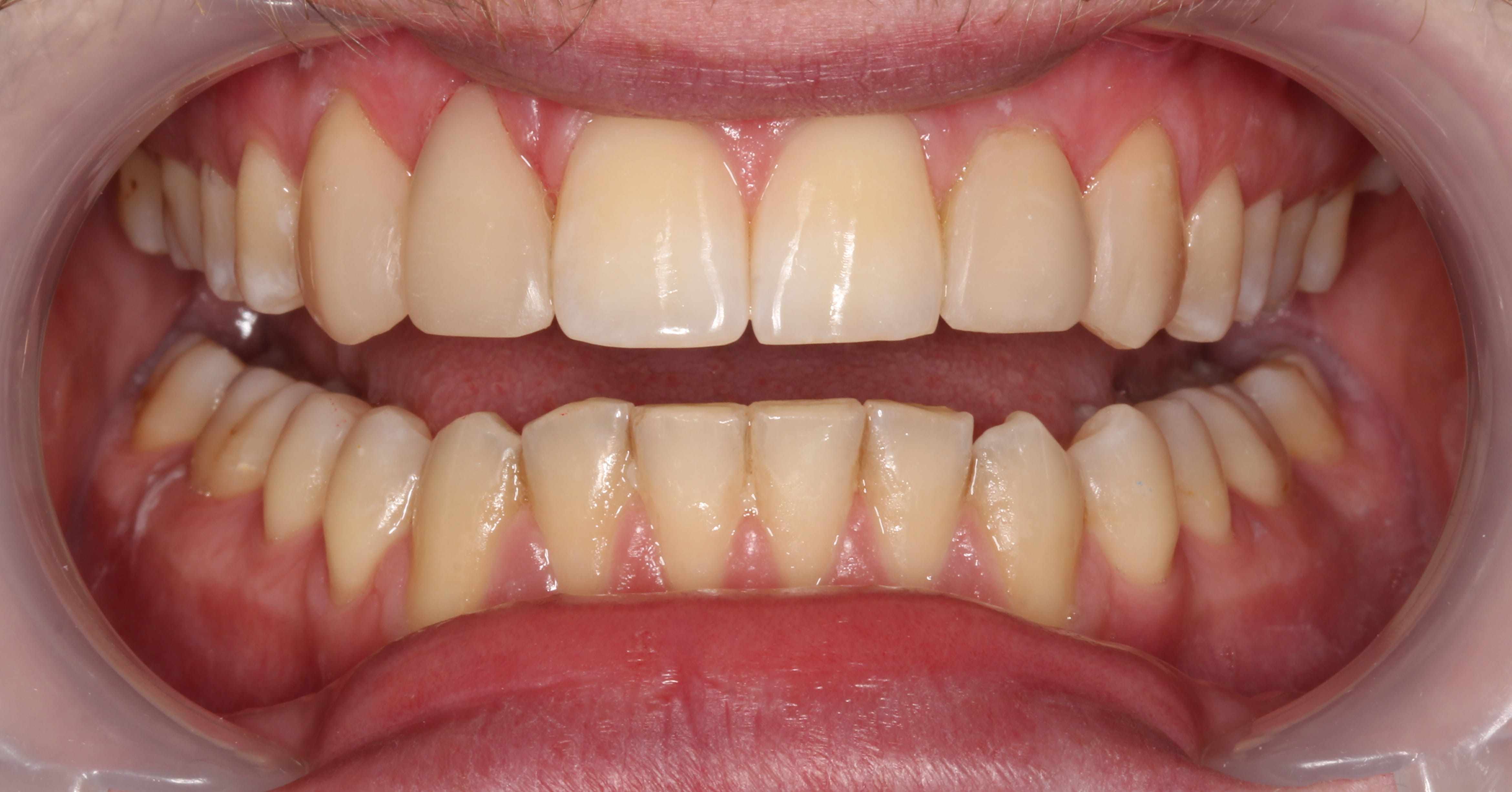
  • Bonding przed leczeniem
    Bonding po leczeniem
    ❌ Problem: drobne niedoskonałości estetyczne, nierówne brzegi, korekta kształtu zębów ✅ Rozwiązanie: delikatny bonding, wydłużenie i wyrównanie brzegów siecznych efekt: uśmiech zyskał świeżość oraz subtelne wyrównanie kolorytu
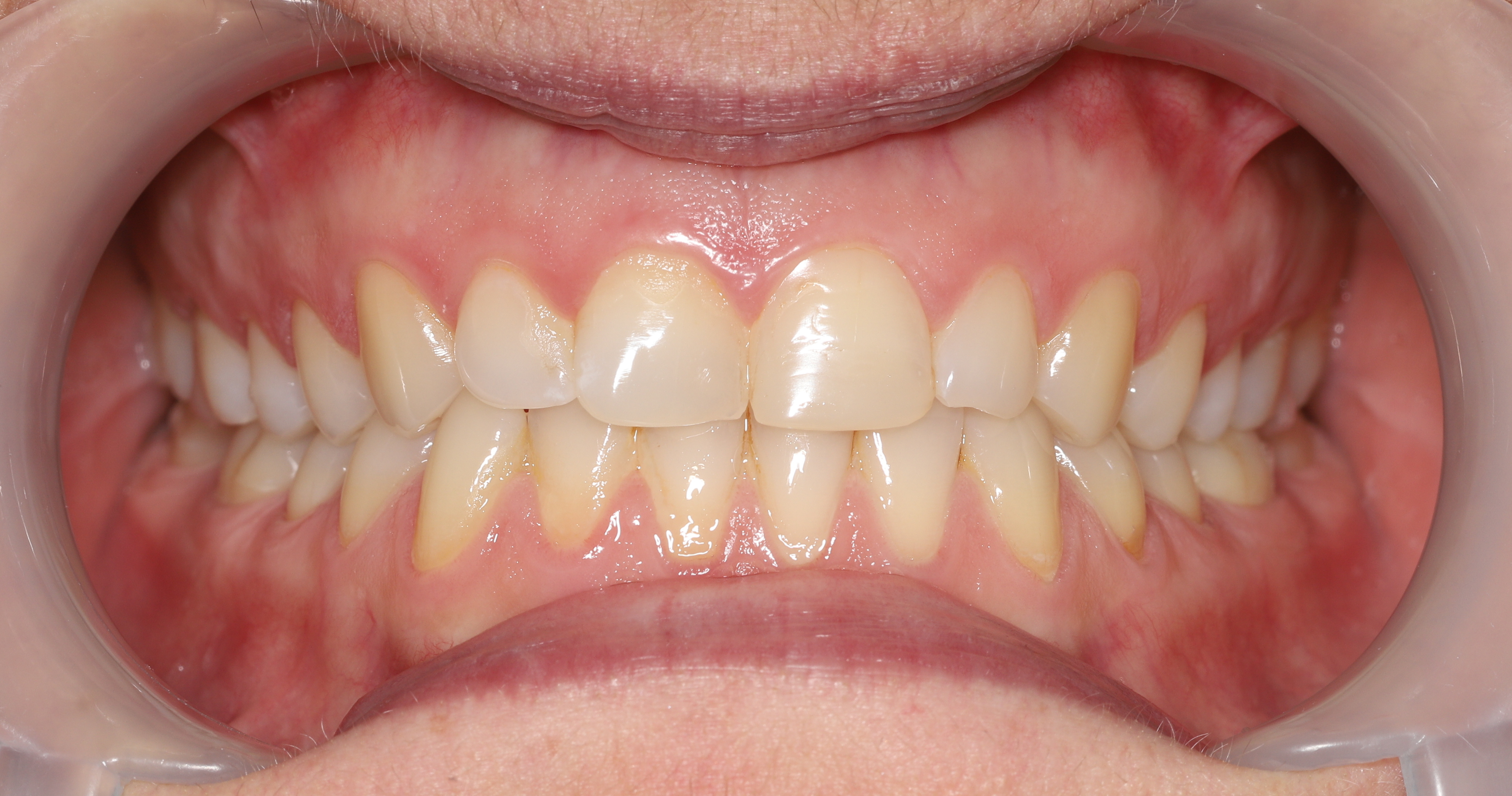
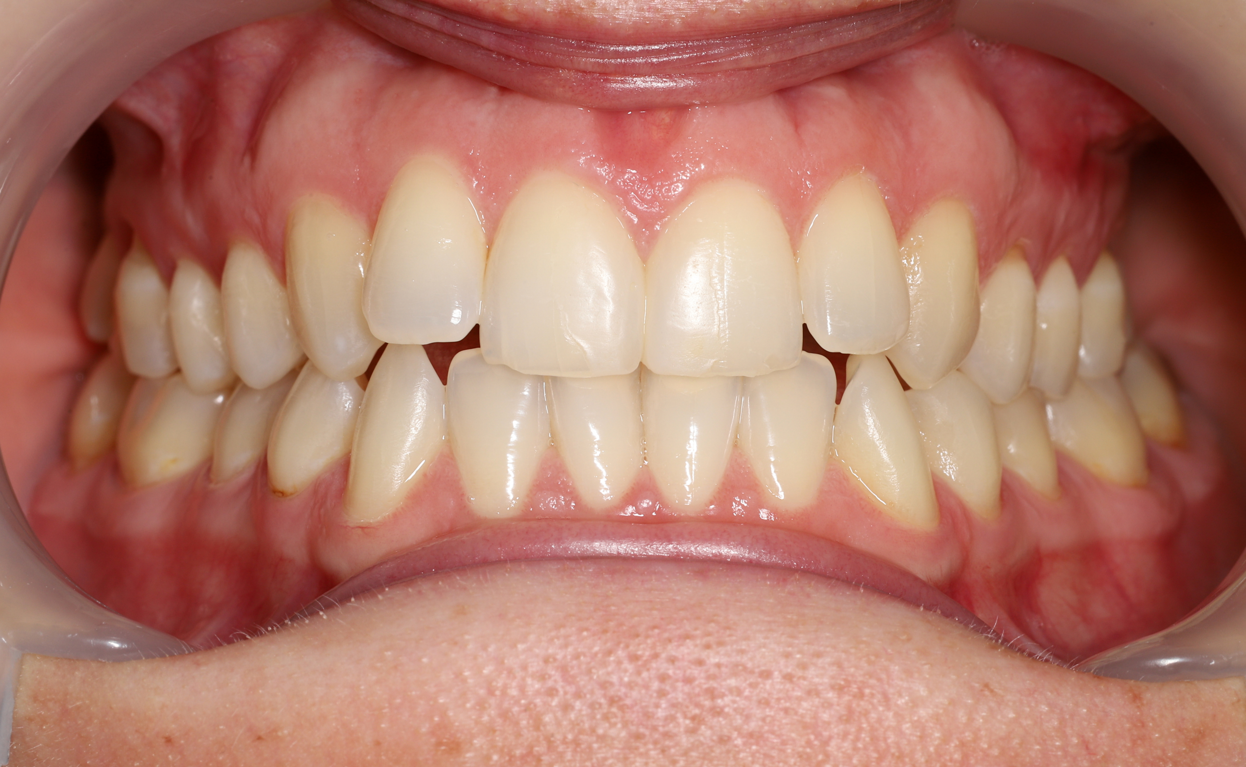
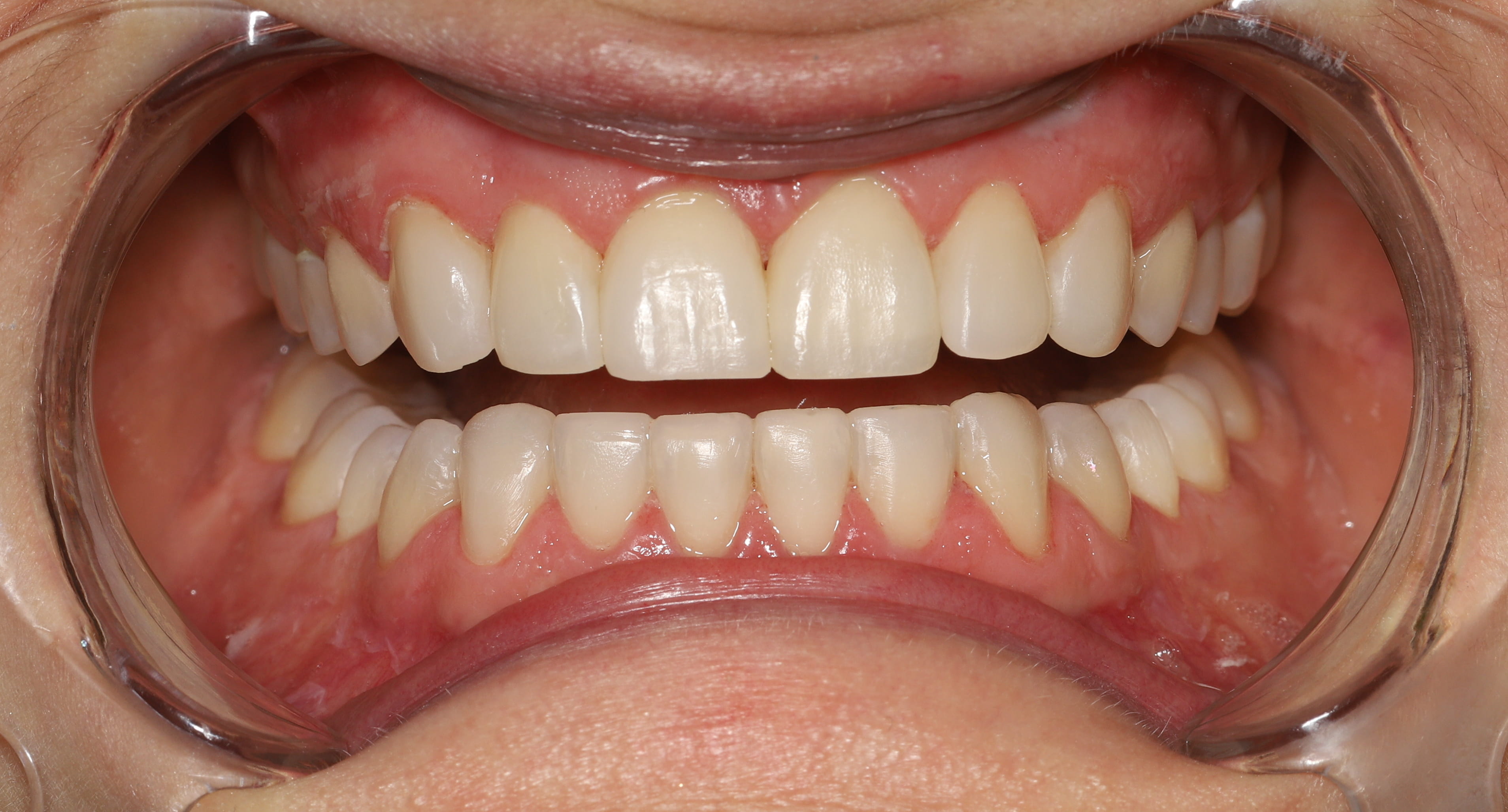
  • Bonding przed leczeniem
    Bonding po leczeniem
    ❌ Problem: diastema, szparowatość, starcie zębów ✅ Rozwiązanie: odbudowy estetyczne w odcinku przednim, korekta kształtu zębów efekt: bonding nadał ostateczny szlif i pozwolił osiągnąć perfekcję uśmiechu
  • Wideo

    Krotki material wideo

    Wszystko, co musisz wiedzieć o bondingu

    Mity i fakty o bondingu

  • MIT 1:

    Bonding wygląda sztucznie i łatwo odlatuje.
    Fakt:

    Klamka zapadła! To mit z czasów, gdy materiały były gorszej jakości.. Dziś pracujemy na kompozytach nano-hybrydowych, które dosłownie łączą się ze strukturą zęba. Nasi lekarze to artyści – modelują materiał warstwa po warstwie, dopasowując kolor, przezierność i teksturę.

  • MIT 2:

    To boli i na pewno niszczy zdrowy ząb.
    Fakt:

    Absolutna nieprawda! Większość zabiegów bondingu wykonujemy bez żadnego znieczulenia. To Ty o nim decydujesz, jeśli czujesz jakikolwiek dyskomfort. Co najważniejsze – bonding to zabieg bezinwazyjny. W przeciwieństwie do licówek, tutaj nie szlifujemy zęba na stałe. Robimy to minimalnie lub wcale, co oznacza, że w każdej chwili możesz wrócić do stanu wyjściowego.

  • MIT 3:

    Z takim 'naklejką' na zębie nie da się normalnie jeść.
    Fakt:

    Jeszcze jak! Po bondingiem możesz jeść, gryźć i uśmiechać się bez żadnych ograniczeń. Traktuj go jak swój naturalny ząb. Jedyna zasada to zdrowy rozsądek – unikaj otwierania zębami butelek, gryzienia twardych orzechów czy kostek lodu. Ale tego i tak nie powinno się robić, prawda?

  • MIT 4:

    Szybko straci kolor i żółknie jak stare plomby.
    Fakt:

    To mit z epoki PRL-u! Nowoczesne kompozyty są niezwykle odporne na przebarwienia z kawy, herbaty czy wina. Sekret? Poza samym materiałem, jest nasza technika końcowego polerowania. Doprowadzamy powierzchnię bondingu do “lustrzanej” gładkości , co sprawia, że barwniki nie powoduja odbarwień.

  • Najczęściej zadawane pytania o bondingu

    Czy bonding jest widoczny i czy każdy będzie wiedział, że go mam?
    Nie. Nowoczesny bonding jest praktycznie niewidoczny. Materiał kompozytowy dobieramy precyzyjnie do naturalnego odcienia Twojego szkliwa, dzięki czemu zęby wyglądają zdrowo i estetycznie, a efekt jest bardzo naturalny.
    Jak długo trwa wykonanie bondingu? 
    Bonding to procedura gabinetowa, co oznacza, że pomijamy etap laboratorium protetycznego. Czas przeważnie zależy od tego, jak wiele zębów poddajemy korekcie.
    Czy zabieg bondingu boli?
    Zdecydowanie nie. Bonding jest całkowicie bezinwazyjny. Nie wymaga szlifowania zdrowego szkliwa, dlatego w większości przypadków nie ma nawet potrzeby stosowania znieczulenia.
    Ile kosztuje kompletna metamorfoza uśmiechu bondingiem?
    Koszt jest indywidualny i zależy od liczby zębów oraz zakresu zmian. Bonding jest jednak znacznie tańszą alternatywą dla licówek porcelanowych. Dokładną wycenę przygotujemy dla Ciebie podczas konsultacji wstępnej.
    Jakie są różnice między bondingiem a licówkami? 
    Bonding wykonujemy z kompozytu bezpośrednio w gabinecie podczas jednej wizyty. Jest tańszy i odwracalny, a licówki porcelanowe wymagają współpracy z laboratorium i delikatnego oszlifowania zęba, ale są trwalsze i odporne na przebarwienia.
    Czy mogę jeść wszystko z bondingiem? 
    Tak, ale z zachowaniem zdrowego rozsądku. Zalecamy unikanie gryzienia bardzo twardych przedmiotów (np. lodu, orzechów w skorupkach) oraz ograniczenie produktów silnie barwiących (kawa, wino), aby jak najdłużej utrzymać idealny kolor kompozytu.
    Jak długo służą materiały kompozytowe? 
    Efekt bondingu utrzymuje się zazwyczaj od 4 do 6 lat. Trwałość zależy od Twoich nawyków higienicznych oraz regularnego polerowania zębów w gabinecie (średnio raz na pół roku).
    Czy oferujecie gwarancję na wykonane prace?
    Tak. Zapewniamy pełną opiekę pozabiegową i gwarancję na trwałość wiązania materiału. Warunkiem jej zachowania są regularne przeglądy stomatologiczne oraz stosowanie się do zaleceń higienicznych.

    Co nasi pacjenci mówią o bondingu?

  • Opinia - placeholder - kobieta
    Sylwia Duźniak

    "Bardzo miła obsługa. Doktor Michał dokładnie wysłuchał jaki efekt chciałabym uzyskać i krok po kroku zostały ustalone etapy leczenia. Efekt końcowy spełnił moje oczekiwania w 100%. Gorąco polecam."

  • Opinia - placeholder - mężczyzna
    S C

    "Najlepszy dentysta, u jakiego byłem – dzięki profesjonalizmowi i świetnemu podejściu dr. Michała Sewastianika całkowicie pokonałem lęk i zyskałem piękny uśmiech. Zespół jest kompetentny, a komfort podczas wizyt sprawia, że wracam tam z przyjemnością. Szczerze polecam!"

  • Opinia - placeholder - kobieta
    Monika Skrzyp

    "Wspaniałe miejsce i cudowne podejście do pacjenta. Doktor Michał sprawił, że po jednej wizycie mój problem na zawsze zniknął. Oczywiście umówiłam się na kolejne wizyty, bo mam do doktora pełne zaufanie. Polecam klinikę Dental City"

  • Poznaj naszych ekspertów od estetyki uśmiechu